how to get food out of wisdom teeth holes without syringe

Allow it to remain trapped in your teeth for a few moments. How to Use the Syringe For.


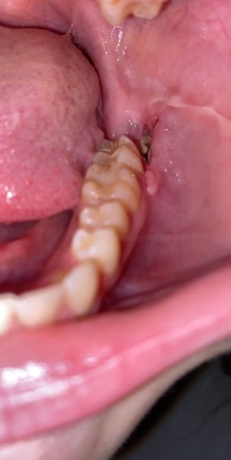
How Can I Prevent Trapped Food In My Gum After Wisdom Tooth Removal Photo Human

Water flossers are also known as oral pulsating irrigators.

. Stick with soft foods like mashed potatoes macaroni soup scrambledhardboiled eggs yogurt and pudding. Make sure to oil pull first thing in the morning right after you get out of bed before you brush your teeth or drink anything. Try not to chew near the sockets until they begin to heal.

In the absence of stitches you may have to deal with many problems including food stuck in wisdom tooth hole. Most surgeons complete the procedure by clothing the whole with stitches but that is not always the case. Brush and floss regularly This will help to remove any food that may be lodged in the.

Rinse your mouth with water Rinsing your mouth often is sufficient to eliminate food or debris lodged between your teeth. Rinsing your mouth with salt water usually helps but it may. To swirl about in your mouth you may use water.

How to get food out of holes. This method is more effective than using your. You can fill the syringe with warm water and add half a teaspoon of salt.

To help dislodge food that has become stuck inside a wisdom tooth hole one can wash your mouth with lightly salted water afterward. Firmly and slowly apply pressure. This tool will help to.

How to Use a Syringe After Wisdom Teeth Removal. Its not mandatory that you get a syringe as part of your post-operative care. Below are some of the ways of cleaning your wisdom teeth holes without a syringe.

You dont need a syringe to remove food stuck inside the wisdom teeth hole. You often use this device to floss your teeth but you can also use it to remove caught food particles from the. A diabetic passes out at a party you are attending.

The simplest way to clean the socket is with an irrigation syringe. To remove this food use a water flosser with a spray bottle. It is possible to stop worrying about food getting stuck in wisdom teeth holes by following these tips.

Gently slip a wooden toothpick between the two teeth where the food is trapped. Rinsing your mouth is the most simple and effective way to clean your wisdom teeth holes. Go through the full article to learn the tricks of how to get food out of wisdom teeth holes.

Proper rinsing techniques In an eight. Depending on the size of the hole you may find that food particles get stuck in the socket. Brush your teeth thoroughly at least twice daily and possibly after every meal to prevent food from getting stuck in your wisdom teeth cavity.

Sometimes your oral surgeon or dentist may feel that using salt water will be sufficient for. Using a cotton swab is an effective way to remove food particles. How Do You Get Food Out Of Wisdom Teeth Holes Without A Syringe.

How to Clean Wisdom Teeth Hole Without a Syringe. Place the syringe over the socket in a. If you do not have a syringe to lift the food out you may try using a spray bottle.

However you may face difficulty using the spray bottle as you need to hold your mouth fully. We all have mouthwashes at home.


Amazon Com 8 Pack Disposable 12cc Dental Syringe Dental Irrigation Syringe With Curved Tip Tonsil Stone Squirt Mouthwash Cleaner No Measurement Industrial Scientific


I Have A Piece Of White Stuff In My Tooth Extraction Site I Thought It Was Food But Rinsing With Salt Water Or Using A Syringe To Rinse It Doesn T Help It


After Extraction Of Wisdom Teeth Saint Marys Ga Dry Socket Infection


When Why You Need Tooth Extraction For Orthodontic Treatment


Tooth Extraction Aftercare Is It Time To See The Dentist Again


How To Remove Food From Extracted Wisdom Teeth Sockets 14 Steps


7 Tips To Recover Post Wisdom Tooth Extraction


How To Get Food Out Of Wisdom Teeth Holes Colgate


Amazon Com 60ml Catheter Tip Syringe With Covers 5 Pack By Tilcare Sterile Plastic Medicine Food Droppers For Children Pets Or Adults Latex Free Oral Medication Dispenser Large Feeding Tube Syringes


Wisdom Teeth Removal Surgery Recovery Pain More Realself


Are You At Risk For Dry Sockets After Wisdom Teeth Are Removed


How To Remove Food From Extracted Wisdom Teeth Sockets 14 Steps


What Does A Dry Socket Look Like Byte


How To Get Food Out Of Your Wisdom Teeth Holes At Best


Monojet Syringe Instructions Toronto East Maxillofacial Surgery


After Wisdom Tooth Removal Home Care Instructions Woodbury Mn


Food Lodged In Hole After Wisdom Tooth Removal


Post Operative Instructions Wisdom Teeth


Irrigating My Wisdom Teeth Socket Post Thanksgiving Meal Honestly Could Not Believe How Much Came Out Towards The End R Popping

Iklan Atas Artikel

Iklan Tengah Artikel 1